Pequeno implante ocular alimentado por IA ajuda pessoas cegas a enxergar novamente

Pessoas cegas recuperaram a capacidade de ler depois de receberem um inovador implante ocular eletrônico combinado com óculos de realidade aumentada, de acordo com um ensaio clínico envolvendo pesquisadores da UCL (University College London) e do Moorfields Eye Hospital.
Publicado em O Jornal de Medicina da Nova InglaterraUm ensaio europeu relatou que 84% dos participantes conseguiam novamente reconhecer letras, números e palavras usando visão artificial, cegos devido à atrofia geográfica causada pela degeneração macular seca relacionada à idade (DMRI), atualmente intratável.
Os participantes tratados com o dispositivo conseguiram ler em média cinco linhas em um gráfico visual padrão. Antes da cirurgia, muitas pessoas não conseguiam distinguir o gráfico.
Estudo inovador e participantes
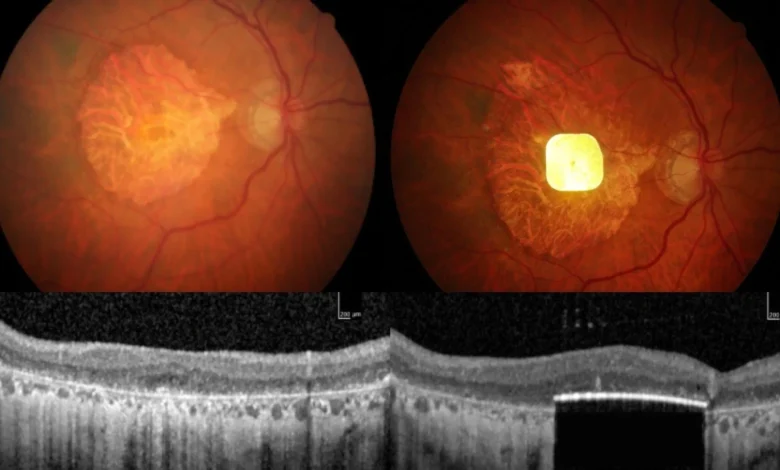
O estudo incluiu 38 pacientes em 17 hospitais em cinco países, testando um implante pioneiro denominado PRIMA. O Moorfields Eye Hospital opera apenas como um site no Reino Unido. Todos os participantes tiveram perda completa da visão central no olho tratado antes de receberem o implante.
A DMRI seca destrói gradualmente as células sensíveis à luz da mácula, prejudicando a visão central ao longo do tempo. Em seu estágio avançado, conhecido como atrofia geográfica (AG), essa degeneração pode levar à cegueira total do olho afetado devido à deterioração da mácula central. Cerca de 5 milhões de pessoas em todo o mundo vivem com GA, para a qual atualmente não existe cura. Os participantes do estudo mantiveram apenas a visão periférica.
Este implante é o primeiro do tipo capaz de restaurar a capacidade de ler letras, números e palavras através de um olho com deficiência visual.
Uma nova era de visão artificial
Professor Associado do Instituto de Oftalmologia da UCL e Consultor Vitreorretiniano Sênior do Moorfields Eye Hospital, o Sr. Mahi Mukit liderou o braço do inquérito no Reino Unido. Ele disse: “Na história da visão artificial, isto representa uma nova era. Os pacientes cegos podem realmente receber uma reabilitação significativa da visão central, o que nunca foi feito antes.
“Recuperar a capacidade de ler é uma enorme melhoria na sua qualidade de vida, melhora o seu humor e ajuda a restaurar a sua confiança e independência. A cirurgia do chip PRIMA pode ser realizada com segurança por qualquer cirurgião vitreorretiniano treinado em menos de duas horas – uma chave para fazer com que todos os pacientes cegos possam ter acesso a este novo tratamento médico para GA na DMRI seca.”
Como funciona o implante PRIMA
O procedimento começa com uma vitrectomia, onde o gel vítreo do olho é removido entre o cristalino e a retina. O cirurgião insere um microchip em forma de cartão SIM, de apenas 2 mm por 2 mm, através de uma pequena abertura abaixo da retina central.
Após a cirurgia, os pacientes usam óculos de realidade aumentada equipados com uma câmera de vídeo conectada a um computador de bolso com zoom usado na cintura.
Um mês após a cirurgia, após a cicatrização do olho, o implante é ativado. A câmera do espelho captura imagens e as projeta através do chip como um feixe infravermelho. Algoritmos de inteligência artificial (IA) no computador processam esses dados e os convertem em sinais elétricos que viajam através da retina e das células do nervo óptico até o cérebro. O cérebro interpreta esses sinais como imagens, permitindo que os pacientes percebam a visão.
Através da prática, os pacientes aprendem a digitalizar texto usando óculos e a ajustar o zoom para ler. Cada participante passou por vários meses de reabilitação para interpretar esses novos sinais e recuperar as habilidades de leitura.
Nenhum dos participantes experimentou um declínio na visão periférica restante. Os resultados abrem caminho para a aprovação regulatória do dispositivo e para um uso clínico mais amplo.
A história do paciente: revisitando as palavras
Uma das pacientes de Moorfields, Sheila Irwin, que foi diagnosticada com degeneração macular relacionada à idade, disse: “Eu queria participar de pesquisas que ajudariam as gerações futuras, e meu oftalmologista sugeriu que eu contatasse Moorfields. Antes de receber o implante, parecia que eu tinha dois discos pretos nos olhos.
“Eu era um ávido leitor ávido e queria isso de volta. Estava nervoso, animado, tudo isso. Não houve dor durante a operação, mas você ainda estava ciente do que estava acontecendo. Era uma nova maneira de ver com seus próprios olhos, e foi emocionante quando comecei a ver uma carta.
“A equipe da Moorfields me deu desafios como ‘olha a receita’, que são sempre pequenos. Adoro me alongar, olhar as letras miúdas nas latas, fazer palavras cruzadas.
“Fez uma enorme diferença. Ler leva você para outro mundo e estou definitivamente mais confiante agora.”
O ensaio global foi liderado pelo Dr. Frank Holz, da Universidade de Bonn, com participantes do Reino Unido, França, Itália e Holanda.
O dispositivo PRIMA System usado neste processo está sendo desenvolvido pela Science Corporation (science.xyz), que desenvolve interfaces cérebro-computador e engenharia neural.
Mais sobre o dispositivo
O dispositivo é um novo implante fotovoltaico sub-retiniano sem fio acoplado a óculos especiais que emitem luz infravermelha próxima ao implante, agindo como um painel solar em miniatura.
Tem 30 micrômetros/mícrons (0,03 mm) de espessura, cerca de metade da espessura de um fio de cabelo humano.
O recurso de zoom oferece aos pacientes a capacidade de ampliar caracteres. É implantado na camada sub-retiniana, sob as células mortas da retina. Enquanto os óculos e o cós estiverem ligados, o implante não emitirá nenhum estímulo visual ou sinal para o cérebro.
Além da prática de leitura e da prática regular de exercícios, os pacientes do estudo foram incentivados a explorar maneiras de usar o dispositivo. Sheila aprendeu a resolver quebra-cabeças e palavras cruzadas, enquanto um dos pacientes franceses os usou para ajudá-la a navegar no metrô de Paris – tarefas mais complicadas do que apenas ler.
Pesquisador clínico da UCL e Moorfields, Sr. Mais citações de Mahi Mukhit:
“A minha sensação é que a porta permanece aberta para dispositivos médicos nesta área, porque não existe atualmente nenhum tratamento licenciado para a DMRI seca – não existe nenhum.
“No futuro, acho que poderá ser usado para tratar muitas doenças oculares.
“O processo de reabilitação é importante para esses dispositivos. Não é como se você colocasse um chip no olho e pudesse ver novamente.
“São pacientes mais velhos que não conseguem ler, escrever ou reconhecer rostos por causa da perda de visão. Antes, não conseguiam nem olhar para um gráfico de visão. Eles passaram da escuridão para recuperar o uso da visão, e estudos mostram que a leitura é uma das coisas que os pacientes com perda progressiva de visão mais sentem falta.”